You can be accurately diagnosed by a thorough examination using advanced equipment and consultation by experienced doctors of Wooridul Spine Hospital.

Neurosurgically your Back Pain
is caused by various diseases such as Sprain, Disc Bulging/Herniation, Foraminal Disc Herniation, Degenerative Disc Disease, Spinal Stenosis, Spondylolisthesis, Spondylolysis, Fracture, Facet Cyst, Tumor, Scoliosis, etc.

This surgery is to prevent further curvature of the spine and create a balanced spine when the curve is more than 40°, when daily life is difficult due to severe deformation, or when the appearance is unsightly.


It is a high-level surgical method that can straighten a severely curved spine, and it can be operated safely with little bleeding and step-by-step surgery through collaboration with a spine specialist, general surgeon and thoracic surgeon.
What is scoliosis?
It is a condition characterized by an S- or C-shaped curvature of the spine when viewed from behind.
How common is it?
It is observed in approximately 2–3% of the population.
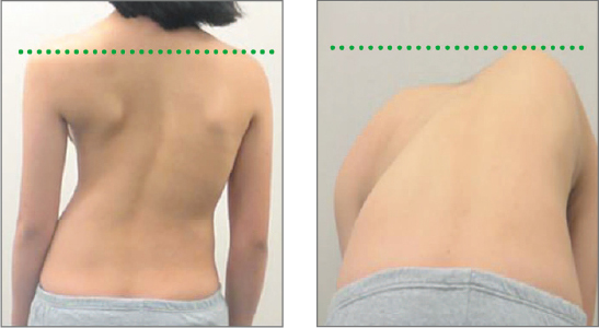
Self-Check for Scoliosis
Diagnostic Criteria
Scoliosis is diagnosed when the Cobb angle is 10° or greater.




Advantages of Deformity Correction
Corrected the curved spine from 125° to 70° after deformity correction 16-year-old female patient who developed severe scoliosis after treatment with alternative therapies
A No. Heavy bags or poor posture have not been confirmed as causes of scoliosis. However, maintaining good posture is beneficial for overall spinal health.
A In most cases, the exact cause is difficult to identify, so there is no definitive prevention method. Therefore, regular monitoring for early detection is very important.
A It is difficult to correct the curve or stop its progression with exercise alone. However, maintaining muscle strength and flexibility can be helpful, so it is often done alongside treatment.
A A difference in shoulder height alone does not confirm scoliosis. Scoliosis is diagnosed when the Cobb angle measures 10° or more on a full-spine X-ray.
A Bracing is generally recommended for curves between 25° and 40° during growth periods. For effectiveness, wearing the brace for at least 20 hours per day is usually recommended.
A The goal is not to “straighten the spine while wearing the brace,” but to maintain the curve angle (prevent progression) even after the brace is removed.